Without Rain (Things in my Head…now)

Lindsey,

Hi! I just wanted to give you my year’s story:)

I think you know that eight years ago I had a life-threatening brain tumor. My kids were only toddlers, and the surgery was extremely rough, but truly went better than anyone had predicted. I recovered completely without paralysis, but they were unable to get “clear boundaries” because of the tumor’s proximity to a main vein in the brain.

At the 5-year mark, a doctor told me my chances were much less of recurrence, and I could come every 2-3 years. (-which was nice because MRI’s are expensive!) My husband said, “no.” He didn’t see why we wouldn’t check it every year. I think his exact words were, “I have more money and only one wife: you need to go every year.”

So last January I went for my annual scan, and for the first time in 7 years, they called me back that they had found something and I needed to have it rescanned.

The rescan eight weeks later showed more definition, and what looked like growth so they sent me to Duke Neuro-Oncology within a few weeks. The specialist called it a meningioma (same name as last time) and said that growth was questionable but that it was so small (“blueberry” size) he wanted me to wait until this January and then we would decide radiation or surgery.

I’ll skip recording here all of my emotions of screaming Nooooo!! We can just say I didn’t peacefully and joyfully say, “well, to God be the glory!” …at least not at first. I prayed – and asked a few sweet friends to pray – that I would “let go of this basket,” the same as Moses’ mother did, but sometimes I would reel it back in as though attached with fishing line. Every little headache seemed to say I was headed down an old familiar brain tumor path, and I tried to talk myself into thinking it was “all in my head” (pun intended).  Every travel I planned, or commitment I made for this spring was weighed down, wondering if I would be able to follow through with it.  Yet I knew I was as good as dead if I decided to stop living while I waited for the next test.  I had to accept it one day at a time.

“My daily bread…” was something Jesus taught us to ask. (Matt 6:11) As I awaited the long, drawn-out period, I often thought how He didn’t say monthly bread or even weekly bread; He said DAILY bread – so I tried to be satisfied with His daily promises and stop asking for the month or year of provisions to be satisfying.

I made some health changes in hopes I was doing my best to either avoid surgery, or ready my body to endure it.

Last week, my husband and I had the appointment with the Duke Neuro-oncologist. He gave us the great news that the scan showed it was STILL a blueberry; he is not worried about it and thought it might even only be scar tissue. He told me he didn’t need to see me for THREE years!!

I praise God for this fantastic news!! Though I didn’t feel like telling everyone along the way, (some roller coasters are better ridden alone) now I feel like shouting it from the mountaintop!!

While I bask in the joy of answered prayers, and realize the floating feeling of lifted weight I hadn’t realized I was carrying in the “back of my mind,” (pun intended) I found it interesting that I want to shout about THIS one. Yet, I didn’t write blogs about the skin biopsies that came back normal, annual exams that didn’t cause concern or the colds I didn’t get. I am so extra-ecstatic this time, because the “last time” had been a bad diagnosis. “Last time” had been a fast-growing, life-threatening tumor that would likely cause seizures at any moment.  “Last time” the tumor was resting on the main vein, in the area of the nerves for my mouth and eating through a bone used for hearing! “Last time” had led to urgent surgery within two weeks followed by months out of my mom-of-the-home position. Argh! “Last time’s”  stormy season had taken everything I had to dance in the rain. And because of that rain, I GREATLY appreciate the sun I have been given in this great news.

In other words, I guess the rainy days in life remind us of the value in the sun.

  • Ask anyone who has had cancer in the past how much they celebrate the clear scans of remission.
    • Ask anyone who has almost lost a loved one how much more they are drawn to that same person now that the storm is done.
      • Ask anyone who has ever lived without a meal how much they appreciate every morsel today.

Ask anyone who fully depended on daily bread, how grateful they are when the sun comes up!

The rain makes us notice the sun…and appreciate it even more.  I hope it makes us tell God thank you even more as well!

If you are in the storm right now,

…like the person in front of me at the doctor, who was scheduling his next chemotherapy, while his wife and dad watched on…

…like the person behind me in the check-out line of the doctor, who was already paralyzed with an obvious head-surgery scar and sat patiently waiting in her wheelchair…

I am praying for you.

I pray you feel the God who calms the winds and waves right there with you, as He carries you to bright skies ahead.

Thanks for dancing in the sun with me.

Terri

 

Morning by morning, new mercies I see.

Lamentations 3:22-23 King James Version (KJV): 22 It is of the Lord‘s mercies that we are not consumed, because his compassions fail not.  23 They are new every morning: great is thy faithfulness.

Related Links

 

 

Tumor Humor, Out of My Mind (with a Brain Tumor) Part IV

Related articles

Dear Lindsey,

After a week of letters (I, II and III) of my brain surgery story’s drama, I have to tell you how

Laugh

much laughing Chris and I did before, during and especially after the surgery was successful. If you are in the middle of a health battle, I hope humor can help take weight off. I never mean to offend.

God knew we needed a laugh to ease the nerves as I checked into the hospital on October 14. After fasting 15 hours, driving 2 to the hospital, going through the extensive check-in process, having IV’s started, and then sitting for hours waiting for the arterial scope the day before brain surgery was a good time for some distraction! Chris and I began going through text messages on our phones that we had not had time to read the week before. Many of them had scriptural references, so I had a Bible ready to look up the verses, while Chris read both of our phones.

A friend texted: Psalms 71:21. So I looked it up: “You shall increase my greatness and comfort me on every side.”

Another was Romans 15:13, “Now may the God of hope fill you with all joy and peace in believing that you may abound in hope by the power of the Holy Spirit.”

We continued, one after another, until one stopped me in my tracks: Our Florida pastor, Tom Ascol, had sent Chris a text referring to Romans 8:32, so I anxiously read the verse from my Bible,

“… He was led as a sheep to the slaughter, and like a lamb dumb before his shearer, so opened he not his mouth.”

What?! I read it again silently.

“… He was led as a sheep to the slaughter, and like a lamb dumb before his shearer, so opened he not his mouth.”

A lamb to a shearer? Right before they shave part of my head? A sheep to slaughter? Before brain surgery? Why would Tom send such a note today? I don’t think that’s a funny joke. Tom has a fantastic sense of humor, but his timing is really off on this one; there must be a mistake.

“What was that reference again?” I asked, hoping Chris had read the reference wrong or something.

“8:32,” Chris said.

Yep, that’s where I was and I couldn’t believe it was true.

“Romans?” Chris asked, hoping he was getting his friend Tom out of hot water.

OHHHHH I thankfully realized that I was in the wrong book: I was reading Acts 8:32.

(I laugh now when I see that I pridefully assigned blame everywhere but myself. I laugh harder to think I would EVER have thought Pastor Tom would have texted such a verse. ha!)

We went on to read Romans 8:32, “ He that spared not His own Son but delivered Him up for us all, how shall He not with Him also freely give us all things?”

Much better.

We called the Ascols in Florida right then from the hospital bed to share the story. We laughed and praised God for the humor to relieve the stress.

In previous letters, I alluded to some of the lingo we used on purpose during this time. It’s more fun to laugh than cry, and these colloquialisms have different meanings for brain surgery patients:

– I gave the doctors a piece of my mind.

– I am no longer in my right mind.

– I am a little out of my mind.

– They had to take a piece of my brain, so I would be back on level with my husband.

– I need to have my head examined.

– I thought something was wrong, but it was all in my head.

– I needed to have the head surgeon present. (from Part II)

– This brings the urgency of life to a head (from Part III – did you catch it?)

– I think I have a screw loose. (My skull was “put back together” with titanium screws.)

– And my friend, Jen, just texted, “Your blog will really help some people, but don’t let that ‘go to your head’.” Love!

Thank You

Although I know this letter is titled “Humor with the Tumor,” I have to get a little more serious for an acknowledgement section:

There were many heroes and heroines in this story, and I wanted to take some time for acknowledging them. I did not even know the definition of the word, “serve,” until God put these people in my life. I recognize that they did not do it for me, but to serve the Lord; I was blessed by them, anyway.

I must begin by saying that if friendship is like a bank account – and love is the currency of deposits (and unfortunately withdrawals)– then the year previous to the surgery, I had bankrupted all of my friends. In my survival mode, I felt like I had nothing left to give, and had even inadvertently offended many friends by not returning calls or asking them to pick up my slack, without explaining why. I am indebted to these heroines, since they loved me anyway, and served as only Jesus could. Of course, I can’t name everyone – especially the number of strangers who visited the surgery-update blog, or sent prayers and cards that began with, “You don’t know me, but…” and took time to encourage. What a blessing they were!

First, thank you to my hero and husband, Chris. My loving knight in shining armor read the recount in these Letters to Lindsey last week and had a whirlwind of emotions again. He regretted that he didn’t do more during the year of pain, but I don’t know what more he could have done. He took over chores and diminished expectations, knowing I was going down. I think maybe God was teaching me to swim, and restricted use of lifejackets – even from my husband. His love for me then and now is irreplaceable. I kept saying his job was much harder than my own in the hospital bed – all I had to do was go to sleep.

Thank you to my brother, Tim, who traveled from Colorado to be with Chris during the surgery days. All three of my brothers returned my calls within minutes when I left them voicemail. That love cannot be duplicated.

My friend, Anna Huber taught not just me, but all of the other heroines in the story just what the word, “serve” means. Since 2008, I have often been in a position when I didn’t know what to do to help someone and I thought, “What would Anna do?!” However, many of the other ladies listed here have told me that they now ask the same question – after having experience working with Anna! She sent me cards every day leading up to the surgery, organized food for those staying in the hotel near the hospital, arranged rides for my kids for weeks after the surgery, arranged food to come to my house in the boondocks for weeks after surgery, and at one point when I texted and asked her if someone was coming to get one of the kids, she replied, “You are not supposed to be thinking! Let me do that!” Anna and her husband Mark drove the four hour round trip and visited with Chris during my less conscious moments.

My great friend and confidante, Tracey Avereyn sent me countless scriptures via text. She was the shoulder on which I could cry. She updated the blog when I was unable. In the weeks after surgery, when I required 24 hour care, she stayed with me more than her share of shifts, and made extra meals without milk and beef to be sure my son could eat as well. Of course the 6lb jar of peanutbutter delivered to my hotel room in Louisville was a favorite love note from her.

Thanks to Laurie Woodward for practically begging me to get the second MRI. How God used her! Woodwards sent flowers to Christine for her 5th birthday, a thoughtful gift the day before my admission. Laurie also flew to Michigan from Florida for a surprise visit seven days post-op. She and I could hardly visit, because the kids kept saying, “Can I play with Mrs. Woodward now?”

Nancy Jones was an immeasurable friend. Her physical therapist background combined with a caring heart provided for incredible help in my time of need. She voluntarily made the trip to the distant hospital, and massaged my horrendously sore neck (the muscles had much involvement in the surgery). On her birthday, (which I forgot in my ill condition), she helped Chris bring me into the house from the hospital discharge. She insisted on staying with me for “a shift” of nursing a week or two later, just to make sure I was really doing as well as she had heard.

Susie Hallstrand was incredible. From many phone calls before, advice on local hospitals, to voluntarily staying with me in ICU (which was a huge fear for me), her nursing background was the cherry on top of our friendship. Her faith was unwavering and a great stronghold for me. Her selflessness in keeping one of my children for the week – the one with food allergies no less – as well as making the four-hour round trip to the hospital is a quality I hope to emulate.

Shirley Barker was used by God when she “randomly” texted a friend to see if I needed muscular help, since she had a cancellation in her massage therapy schedule. She drove from Indiana to use her gifted hands on my neck muscles and really shot the starting gun for my road to recovery.

Friends and business partners, Bob and Nancy Frazzini, approached me at a meeting and asked if they could can my garden – a task that had clearly left my list of things to do that fall. It was so sweet of them to 1.) remember I had a garden and 2.) offer the service I would never have thought to ask. Every soup I had that winter reminded me of the Frazzinis’ gift and I asked myself the question, “How can I serve people like that?”

Wow. This list gets so long, but I am SO grateful to all!

Thank you, God, for sending my in-laws, Jim and Gayle Brady. One memory I have from the hospital was Chris’s mom in a heated discussion with the hospital staff. I was barely conscious to hear, “This woman has given birth four times! If she says she’s in pain, SHE’S IN PAIN!!! NOW!” She has taught me a lot about having an advocate to stand up for you in a hospital setting – especially if you will be unconscious. Being a retired hospital nurse herself, she knows how busy the setting can be for hospital staff and that it doesn’t hurt to have another eye on the situation.

Thank you to people who made the long drive to visit us in the hospital: Eric and Lori Stewart, Norm Walworth, Pastor and Mary Dickie, Chris’s brother, Pat and Jenny Brady, his parents and Mark and Anna Huber, who stayed all night with Chris.

Thanks to Tim and Amy Marks who sent food to feed the entire waiting room, probably for a year. 🙂

My parents, Ron and Sue Estes, came 1300 miles and stayed with me for three weeks, about two weeks post-op, to help me ease my way back into motherhood, which took time. It was helpful having parents who would let me do some things, and then also let me crash for lots of napping. My dad and I had some special walks outside, arm in arm, on the driveway in the cold fall air to ease my cabin fever.

Who can you trust to take your kids from you when you are having serious surgery – knowing that if things don’t go well, they will be the only buffer between your kids and the news? Four families volunteered – one for each child. What a blessing! Thanks to John and Tammy Sonnenberg, Rob and Susie Hallstrand, Doug and Tiffany Huber and Don and Chris Freeze.

Girlfriends stayed with me for eight-hour shifts, 24 hours-a-day for the first 10 days. Apparently this was needed due to my short hospital stay, and my risk for falling. At one point JR (who was 3) told me he would help me walk so I wouldn’t fall. So precious! But God sent other angels to keep me upright: Jackie Lewis, Cassie Birtles, Marsie VanBuskirk, Mallory Purdy, Tracie Clouse, Beth Morgan, Heidi Smith (who pulled an all-nighter when I was having pain-control issues, despite the fact she was working the next day), Tina Jacklyn, Meredith Cordes, and Corrie Jones – in addition to the others already mentioned. These ladies really saw me at my worst – after their love tanks were probably emptied by me the previous year – and they loved me anyway. What true friends and gifts from Above. May they hear, “Well done, thy good and faithful servant!” one day.

I know I have missed someone – but please know your reward is in heaven! I am so grateful that God allowed you to help in such a time of need.

Ladies groups made quilts and crocheted blankets, praying at the corner stitches. These afghans still reside in my house as a reminder of my leper experience. Thank you!

Val Brimsmade sent a note I still remember, and it often brings myself to right thinking. She said, “We are commanded, not requested, but commanded in Joshua 1:9 to be strong and courageous in His name.” I believe Martin Lloyd Jones says that we are abusing the gospel if we do not approach the crossing into eternity with JOY.

Thank you to the pharmacy and hospital staff: nurses Sarah, Wendy, Michael, Robin, Heather, Jackie, Keyonna and hospital executive VP, Patti who was so kind to the family.

Thank you

Thank you to people who brought or sent food and or gifts:

  • Randy and Rusti Spence – Thanks for reminding me to dance in the rain!
  • Kelly Johnson – The homemade card shower that lasted for months after surgery! (and still does today!)
  • Brenda Overman
  • Paul and Lois Nobels
  • Sarah Kingsbury
  • Mary Ann Markel
  • Sheri Stroh
  • Jen Golden
  • Ed and Lynette Zentner
  • Billy and Peggy Florence
  • Val Taylor
  • Dallin and Karree Larsen
  • Hugh and Karin Pobur
  • Brigg and Lita Hart
  • Guzzardo Team
  • Jerry and Sherry Daniels
  • Dave and Claudia Walker
  • Manase and Lisa Fotu
  • DarkAngelos
  • Manteises
  • Gertslers
  • Rhodes
  • McGlinchys
  • Nancy Deats
  • Holger and Lindsey Spiewak
  • Mike and Vi Gowen
  • Jamie and Lisa Cirello
  • Dave and Tracy McDade
  • Charlie and Polly Ballmer
  • and so many more that did not get written in Chris’s notebook during the surgery dates.

As I look back to the “leprosy” days, (referring to Luke 17 where Jesus healed ten lepers, and one came back to say thank you), I really believe that to truly say, “thank you,” to the Lord, we must also say, “thank you,” to the people He sent.

Summary

In summary, let me recall a poem I wrote years ago regarding the Luke 17 story:

THANKS AGAIN

Ten lepers were healed

By Christ’s words that day.

He said, “You are new,”

And sent them away.

They danced and they sang

With their limbs now anew.

Showed friends their new health

And all they could do

One returned thanks,

The others took for granted;

But Jesus gave freely

His gifts not recanted.

Lord, help me to be

The one of the ten

Who thinks to come back

and say, “thank you,” again.

-Terri Brady

May God bless you with much, and may you bless Him with thanks.

– Terri

Out of My Mind (with a Brain Tumor) Part III

For those who are just joining, it may be helpful to READ FIRST:

Out of My Mind (with a Brain Tumor) Part I and

Out of My Mind (with a Brain Tumor) Part II

Dear Lindsey,

In some ways, 2008 seems like yesterday, but as I recall my history, it seems like a whole different lifetime. As I said in part I and II of this letter, headaches led to MRI’s which revealed a tumor. Although the tumor seemed unrelated to the location of the pain, its speed of growth required surgical removal. When it rains it pours, and so did other “unrelated” health issues of skin cancer, a noise in my ear and swallowing problems which led to coughing issues…but the brain surgery took priority.

My story continues…

The Two Weeks

For the two weeks before surgery, anxiety woke me daily before my alarm.  My 5am quiet times would finish with the Lord’s arms around me like a warm blanket on a frosty morning. (Thanks, Alice Doan, a woman of our church for praying that to happen.)

I was already scheduled to speak in Phoenix, AZ and Louisville, KY those two weekends. I know anyone would have understood if I had decided to cancel due to impending brain surgery, but what happened in those two weeks was a wonderful alignment of priorities.

What is important now?” dominated my thinking.

If I were truly given only two weeks left to live, what would I do? The song says, “I’d go skydiving; Rocky Mountain climbing; ride a bull…” but none of that came to mind.

Although I think the chances of handicapping my voice were greater than the chance of death (The surgeon had said he wouldn’t come close to the life-threatening vein.), it brought the urgency of life to a head, as well as the momentousness of the ability to use my voice.  I wanted to live my life on purpose, and I felt like my message to the stadiums those two weekends was my purpose, or I would never have scheduled to leave my children, even before the diagnosis.

Each weekend, I changed my originally planned speech and told of the upcoming surgery and the heaven that awaited for those who have faith in Jesus Christ – whether the finish line would be October 15 or any time before or after.

During this time, the news of a fatal car accident jarred me to remember that we are all dying. EVERY day is a day that may be the end of our “dash”, and priorities should be lived as such, impending surgery or not.

Telling the Kids

The moment I dreaded had arrived: we needed to tell the kids.  We knew we had one promise we could make: not “Mom will be ok,” nor, “It will be just like always,” but that God is in control.

Pride of being a mother is a difficult thing to fight. Feeling the heavy weight of responsibility yet keeping perspective that if God chooses, it will be relinquished in a moment can only be accomplished by surrender. I surrendered (again) that I was not the one taking care of my children; God was.  If He chose for me to reach my finish line during brain surgery, my children would still be in His care.

True surrender is the most humble act.  I would have told you I surrendered when I was led to Christ at the age of thirteen. Again, a deeper surrender occurred when I “lost control” (which of course was never mine to begin with!) during infertility challenges.  I have often surrendered during my battles with pride.  But I had never before completely surrendered to the thought that the world would just keep turning in my absence. After a funeral and time, hearts who may have missed me would heal, and life would continue as it was…without me.  The church would find another musician; friends would get back to laughing; business would grow. I am the proverbial pea in the ocean. God’s ocean. Removing me was not a big deal. I suppose that is the humility with which we should live at all times, but nothing brought this to realization like a life-threatening storm.

We told the kids the good news: they would get to stay with friends, and then we told them the bad news. Chris grimly went through the recovery information, and the risk, and we prayed as a family. Within ten seconds of the word, “amen,” Nathaniel (8) said, “Can I tell you about the Scooby Doo movie now?!”

I know his comment frustrated my husband who wanted more concern, but the child’s words were a little note from Above: the kids would be fine.

To the Hospital

After a party for my daughter’s 5th birthday the day before, I wrote a little post on a blog my brother Tim had set up to give friends and family updates during my surgery. (The blog has since been deleted (after we printed it), because it wasn’t renewed.  There were more prayers/ comments in 10 days of that blog, than there have been on Letters to Lindsey since it began 15 months ago!)

I had indescribable peace as we made the two-hour trek to the hospital.  I was no longer preparing a basket with pitch and hyssop (from my Basket Case letter), but like baby Moses, I was riding inside, waiting to see where the Lord would have the water take me.  I decided everyone’s prayers were like a river on which I floated. So many prayers were said for the surgery, I bet Chris could have performed it! (but I opted for the surgeons instead.)

I believe PEACE comes from knowing that in all outcomes: God is in control. Thoughts at the time, while reading Trusting God (Bridges) were:

      • God is in control if I am healed completely.
      • God is still in control if I have nerve damage and live a life as handicapped. (Ask Joni Eareckson Tada if she agrees.)
      • God is still in control if I have reached my finish line; it would be heaven. Heaven is the finish line no matter what happens to my today.

First Surgery and a Friend’s Call, October 14

The first surgery on the 14th went better than planned; the arterial scope revealed there was no need for embolization to stave bleeding…answered prayer! Because of that, I was able to stay in a regular room and have one less night of ICU.

That night, while lying flat in bed as directed, I received a call from a friend who could hardly speak as she cried, “I don’t know if I know how to pray, but I just need to know, Terri, if I pray for you tonight, will God save you?”

Seeing her in her humble state, asking of the Lord for possibly the first time, I replied, “I don’t know if He will save me here, but I know if you pray to Him tonight, He will save YOU for eternity.”

She and I prayed together on the phone from my hospital bed, as I felt her come to the knowledge of what it means to be a sinner who is completely forgiven and saved by Christ.

Chris and my brother Tim visited with me before heading to their hotel, and I waited for the morning. I glowed with the joy that only comes from knowing a soul will be with me in eternity.

TT bed

Today’s the Day, October 15th

The morning of surgery, I sat up in bed and posted a favorite hymn on the surgery blog:

Day by day and with each passing moment

Strength I find to meet my trials here

Trusting in my Father’s wise bestowment

I’ve no cause for worry or for fear.

When rolling my bed to surgery that morning, one of the medical students said to me, “I can’t believe you have such peace about this!”

It was ironic that this guy who was probably used to trying to calm people’s nerves was trying to figure out mine. “I need not worry about tomorrow, God is already there,” I quoted a favorite saying. I knew I was in my proverbial “basket floating down the river,” – two IV’s, arterial lines, tubes coming out of every angle and all. Like baby Moses, I was secured by God’s plan, waiting to wake up 2 to 14 hours later, to see either Chris, or Christ:  completely surrendered to His will.  Oh! How I pray I live that way out of the hospital bed!

Post Surgery News

I guess the 15th was quite an exciting day full of drama, according to the surgery blog, which I was able to read weeks later.

The summary:

    • The tumor was surrounded by a sheath, which protected any nerves from being touched. No nerves to my mouth were damaged!
    • The tumor had “fingers” that went into my right ear, so, unpredicted by the MRI’s view, several bones from my ear were “eaten through” and were removed.  In one of my few memories of recovery, the brain surgeon motioned “YES!” with a clenched fist when I reacted positively to noise in that ear. Although hearing was lost for several weeks due to swelling, the nerves were not severed, and hearing was restored by 4 months post-op.
    • The surgery went as well as it possibly could. I stayed in ICU only one night, and a regular room one night and then went home! (I stayed longer for an emergency appendectomy a year later!) Although I have virtually no memory of that week, my husband tells me that I was in a lot of pain, and he was sure I would get meds in a more timely fashion in our house. (He cholerically took over.) Friends stayed with me 24/7 for ten days post-op, giving me medication and stabilization from falling. I learned what it means to serve one another in love.  I only wish I could erase some of those shower moments from their memories. (yuk!)
    • Although unable to get what the medical world calls “clear boundaries,” due to the tumor’s proximity to the main vein, the brain surgeon had confidence he got all he could see through his microscope. This has been confirmed by four years of clear MRI’s. (Praise God!)
    • I found out a couple years after the surgery (probably because my memory of the events was tainted) that there had been a 24-hour prayer chain during October 14-15, 2008. Apparently, all through the night, every 15 minutes, people were assigned to pray – on the phone with one another- in Michigan, Florida, Phoenix, Salt Lake, Louisville, etc. Wow. I learned what it means to be part of the body of Christ.
    • The headaches, the swallowing problem and the ear noise were all healed.  By January 2009, Chris was forgetting I was recovering and asked me to go snowmobiling! (I said, “no,” and reminded him the helmet would not feel good.) Really, less than three months after surgery, I felt better than I had felt in years. Chris said, “I feel like I got my wife back!” I still stand in awe.
    • I never before 2008 thanked God for a reflex like swallowing, but it still comes to mind. I learned that I have taken the body’s involuntary reflexes for granted.

When Bad Turns to Good:

I feel extra-blessed if I get a glimpse of God’s plan, when something I perceived as bad turns through a winding trail to be better for me after all.

    • My brother’s melanoma was such bad news, but if he had not called me, I may not have had the skin exams – which led to my recognizing the skin-healing problem. I cannot imagine I would have survived brain surgery lacking the ability to heal.
    • The rejection from the insurance company was a disappointment the day I received it; however, that rejection (along with Laurie Woodward’s encouragement) is what spurred me to get the second MRI. God’s thoughts are always higher than my own, and He meant it for my good. (Is 55:8)
    • The physical pain was bad, but it was good because it forced the solution. Without the substantial physical pain, I may not have sought help as fervently, and the tumor would have grown inoperable. (It reminds me of sin! But I will save that for another letter.)
    • I believe my friend (who prayed on the phone with me from the hospital bed) was changed for eternity. Heaven instead of hell… when my illness caused her to humbly reach for a Savior  (John 3:16). There is no greater joy for those who ask.

Despite whether we see the good coming from bad, we can be thankful for the struggles, because they promise to give us perseverance, character and hope (Rom 5:3-5) and increase our pain tolerance, too!

During a horrible storm that was tossing a fishermen’s boat in the billowing waves, Jesus said, “Peace be still,” and the winds and waves obeyed His command. (Mark 4:35-41)

The old hymn says, “the winds and waves still know His voice who ruled them while He dwelt below.”

Although He may not remove you from the water, may you experience His peace as He calms the storm within.

In Christ,

Terri Brady (See below for Frequently Asked Questions)

FAQ:

1.  Will the tumor come back? – I was told there is a documented average 20% chance of return when they get clear boundaries around the tumor’s location. Since they did not get clear boundaries, the chances would normally be considered greater, but my surgeon was very confident that he got every cell, so any return would be due to its ripe environment for growth. At the five-year mark, the chances of its return decrease significantly.

2. Were there residual effects on me? – Yes. The biggest effect is that I am more grateful for pain-free days than ever. The other effects are minimal in comparison, and I don’t like to talk about medical things. 🙂

3. Do you still have headaches? – Yes. I am back to “normal”. In October this year, I was even speaking in front of a crowd – lights and all- with a migraine. To me, it was a testimony of increased pain tolerance. The occasional headache now comes as a blessing, reminding me of my past as “the leper” who comes back to say thank you.

4. Was the brain tumor caused by cell phone use? – I have read probably too much information on this topic. Although evidence is still questionable, it can’t hurt to hold cell phones far from the ear, and limit children from holding phones to their heads. (Their skulls are softer and the radiation has been measured much further into their brains.) My guess is that a cancer survivor who thought it had nothing to do with smoking could probably have written a letter like this in 1950, but of course my guess could be wrong.

5. Do you think your healing was a miracle? – I don’t feel worthy of the term, “miracle,” considering the miracle of a virgin’s birth or raising of a Man from the dead. However, I don’t take from God that He provided answers that the doctors were unable to predict. To God be all glory.

Related articles

Out of My Mind (with a Brain Tumor) Part II

“Compassion is showing our scars to those with open wounds.” –Gary Hallquist

Dear Lindsey,

In my last letter, I gave Part I to this story. I originally hesitated from sharing this brain tumor journey: Was I afraid of dwelling in the past? Was I afraid I would scare readers into getting themselves checked for brain tumors? Or was it that my heart aches for so many people still in their “Holland,” with worse problems, bigger tumors, cancer in multiple family members, unrelenting back pain, life-changing car accidents, addictions, etc., but they are still living through them today? A friend reminded me that suffering is not a competition. If showing our scars can be helpful to those with open wounds, then sharing the past is celebrating God’s victories. So I continue to write:

When we last left the story, my insurance application had been rejected unless I would get another brain MRI.

September 6, 2008

I had the MRI early in the morning. I “checkmarked the box” so I could get the new insurance. The diagnostic center gave me the normal line about how I would hear from my doctor within two weeks to review the results. I knew from booking this appointment that the neurosurgeon was on vacation that week, so my follow-up appointment to review the MRI was scheduled for September 22. I was not worried, just like she had told me not to be at my previous appointment, months earlier.

The following week, the caller ID revealed the hospital’s number on a phone call. The kind woman told me that they needed to get another scan for clarity.

“I am flying to Salt Lake City in the morning,” I told her and we booked a time for the following Monday and ended our call. I figured my brain must have moved during its photo shoot, and blurred their view. (smile) It’s hard to hold still for 45 minutes – even if your head IS clamped.

The phone rang again within minutes. “I spoke with your doctor, and she said you should not get on the plane.”

“Is something wrong?” The dumb question escaped my mouth as my nerves escalated, realizing they had called that doctor on vacation –obviously, something was wrong.

“No, we just need a better view. It is actually not an MRI, but a VRI we will be taking,” she said as if that was a logical answer to my panicked question.

“So why can’t I fly? Is it the plane pressure? I am supposed to leave at 10am.”

“Well you could come in at 7am, and if the radiologist clears you, you could be out in plenty of time to make your plane.”

The following morning, I went back on the cold table into the tube. It screamed a sound similar to the old dot-matrix printer, seemingly through a microphone directly into my ears. Halfway through the test, the young (and obviously naïve) technician started my IV as normal and asked,

“So how long have you known about this?”

Known about what?! Went through my head, but I played it cool: “A while,” I said, not sure if we were talking about the same thing.

“Can they operate?” she asked, curious.

Oh. My. Word. Am I in a Twilight Zone? Did I miss a phone call somewhere? Last I had heard, this kind of tumor is common and no big deal… “Uh, I don’t know yet. I think that’s why I’m here,” my heart began to race as my mind wandered in “what ifs,” but exteriorly, I was calm.

“Is it cancer?” she asked me.

“I hope not,” I said quickly, as if the speed of my answer would bat that chance away.

“Well, you must be scared,” she said as she rolled the table with me on it back into the tube.

I lay on the hard, skinny table surrounded by my own cocoon for the second 20-30 minutes of the test. I thanked God that the technician was talking to me and not to some little old lady who didn’t know my God of peace. I knew the tech wasn’t supposed to talk to me like that, but regardless, the cat was out of the bag!

The radiologist released me, I guess, because I made the plane to Salt Lake City… with a headache.

In Salt Lake, we met with close friends and business partners. I told a small few, trying not to initiate panic, but asking for prayer and still hoping it would all blow over.

The following Monday, the 22nd, I saw the neurosurgeon, and she was less jovial than our first meeting months before.

“Your tumor has grown over 50%. This is a much more serious situation than I originally thought. It is compressing one of the two main veins to the brain. If it continues to grow at this pace, it is life threatening. It is unclear, but it looks like it is close to pushing your right brain to the left, which will cause seizures, so this is becoming an urgent situation. I wouldn’t touch it with a ten-foot pole. I am sending you to a specialist a few hours south of here. I assume surgery is your only option. We made you an appointment for next Monday. Bring your husband. You will want him with you.”

She handed me 2ft x 3ft films to hand-carry to the specialist neurosurgeon in the Detroit area. It felt like the entire office staff was looking at me with a, “poor girl,” glance as I walked out, but it was probably just in my head. (“Just in my head” began a whirlwind of puns, humor which Chris and I enjoyed to relieve the weight of the situation.)

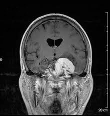
I got to the car, dumfounded. Opening the humongous envelope that held the films

Not my brain, but similar tumor, opposite side.

Not my brain, but similar tumor, opposite side.

and spreading them across steering wheel, I could see a lot of gray matter – like any picture of a brain- except one big difference, the white, oblong golf ball on the side. It looked big for my small brain. I searched for my name and date to be sure they were really pictures of my brain.

As I drove home, my mind was silent. The chatter of “things to do today” was gone. The bother of the other drivers wasn’t registering on my new Richter scale.

.

Really? This could be IT?! The finish line is sooner than I thought?

But,… my “dash”?!

I remembered hearing Lou Holtz read the poem, “The Dash,” about the symbol on a tombstone between the birth date and the death date. The dash represented what was done with the life during the time on earth.

My dash may be done?! But I was going to make a difference in this world; I was going to raise my kids to be difference-makers; I was going to spread the Gospel: I was going to…

I drove past an abortion clinic, and I was reminded of how many in there didn’t have a chance to even start their dash. Life is not fair. I don’t deserve more than they.

What would I do differently? Ironically, that week I had just read the account of Hezekiah in 2Kings 20, where Hezekiah was granted another 15 years of life, after he was told he was dying. What would I do now if God chose to continue my dash?

In my quiet car that day, my priorities aligned, as if seeing a ghost of Christmas future and being pleased. What?! PLEASED? Yes, pleased. I did not think about where I could have been in the work place had I only held on to my position in engineering. I didn’t think of patents I could have owned or promotions I might have possessed. I realized more than ever that I was blessed to have invested the time of my dash (so far) into being a mom and wife and encouraging other moms and wives. I recognized the GIFT my husband gave me in being a stay-at-home mom! If God’s plan was that I would never speak again, I had no regrets of missed words with my children. I wish that for every woman who chooses to be a stay-at-home mom! If it were all over, I had no regrets.

I called Chris to let him know the doctor’s news, and by the time I arrived home 30 minutes later, he had a dozen coral roses on the kitchen counter, accompanied by his warm embrace.

As the week progressed to the appointment with the specialist neurosurgeon, my quiet times with the Lord progressed to depth. It is always during storms, when I seek the Son most.

Chris and I kept our secret, trying to protect our children, then ages 11, 8, 4 and 3 from fear. The night before the next neurosurgeon appointment, we decided to tell our parents of the impending days.

I had difficulty spitting the words out to my mother and father in Colorado, imagining they would feel helpless 1300 miles away, and fighting their own medical battles.

My mother immediately reacted as if packing her suitcase, “We will leave within the hour, and drive all night.”

I could barely keep her from hanging up the phone to pack, when I told them it was just a doctor’s appointment, and I would let them know if indeed surgery was scheduled.

Skull-base Neurosurgeon, September 29

“The fast growth rate of the tumor tells us it is likely NOT cancer; less than 4% chance.”

The appointment gained speed as the skull-base-meningioma specialist went through the options of treatment. “The brain surgery where the child is outside playing later in the day as seen in some commercial is not an option. The size of the tumor (3.6cm) exceeds the limits of our non-invasive radiation treatments. Waiting longer to see how the tumor acts [if it would shrink] is getting to a dangerous point, and we have zero data of a tumor that has ever grown at this rate and then stopped. In view of what lies ahead for you, if you have always wanted to go to Hawaii or something, now is a good time to go.”

I had never had to endure such a speech, and yet it continued.

“At your age and health, your body will handle the surgery well. However, due to the proximity to the vein, I don’t know that we will be able to get it all. I will use scissors so small that the tips can only be seen under magnification, but if even one cell is left, the tumor will grow back. Regular MRI’s will hopefully allow us to catch it small enough to use a radiation “knife” or other noninvasive options next time.”

He laid out a plan for future surgeries and radiation treatments dependent on my age at the time of diagnosis and size and growth rate of the tumor. This diagnosis did not look like it was ending… ever.

His informatory speech continued with how he would enter the cranial cavity (my head!) by cutting a football shaped piece, extract the tumor and then create a seal to replace the missing skull. The location of the tumor seemed to him far enough from the ear to be able to avoid hearing damage, but it looked like it was directly on the nerves of my mouth; one nick of a nerve would cause permanent paralysis and inability to use my mouth, so he would have a feeding tube team standing by for insertion.

“Is this why I have been choking?” I asked, grimly.

“The location could definitely cause swallowing problems.”

He continued to talk about the tumor’s location, also pressing on the main vein, as he gave us an anatomy lesson of the sinus vein and its relation to the body.

“I will not get close to touching that vein. I will get every cell I can –as long as it is not touching that vein. If it is nicked, bad things happen.”

My heart sank, knowing the tumor was visibly pushing on the vein in the MRI.

Chris excused himself, and I noticed that he, too, was going green in the face.

His absence didn’t stop the doctor’s progression.

“It is a two part surgery. The first is done by a vascular surgeon, who will go through an artery in your leg all the way to your brain, to put a “super glue” (for lack of a better word) into the tumor, to stave off bleeding. This pre-surgery often avoids the need of a blood transfusion. The second surgery is by my team, the following day. The head surgeon here [no pun intended] will want to be involved, due to the nature of your case, so we will schedule a day for both of us, although I am hoping only one will be needed.

You will be our only patient for the day. This second surgery will take 2-14 hours. You will be in ICU one night after the arterial procedure, then 1-2 more nights of ICU after the brain surgery, and 3-5 days in regular room. It usually takes two-three months to feel 80% healed and a year before patients feel 100%.”

It had been so long since I felt “100%,” a year didn’t seem like a long wait.

“So do you think this will take care of my headaches?” I asked, hoping he would give me a different answer than the last neurosurgeon.

“It’s hard to say, but the location of your headaches does not look related to where this tumor is. Unfortunately, I hate to say, but sometimes it can make headaches worse.”

I held the tears until Chris and I were alone in the car.

So let me get this straight:

If I leave the tumor alone, its growth will likely lead to seizures, paralyze me and end in death;

If I have surgery, there is a chance of paralysis or death.

If I go through the two surgeries and a hospital week, and IF I survive and happen to get myself back without paralysis, the chances are high, that I will not feel any better than I have for a year, and I may even feel worse.

– And this is likely not the last time to have to go through all this.

Surgeries were scheduled for October 14 and 15.

As I called my friends, it felt like I was dropping a bomb on each one. I hated to make the call, and yet, I found through their tears, the love of Christ in our friendships was shining. When talking with my friend, Tracey Avereyn, I was the one who broke down. Through tears, I tried to master the language of cry-talking. I said, “I know that all things work together for good, but is it sinful that I dread this SO much?!”

Being a sister in Christ, she didn’t hesitate to sharpen as iron sharpens iron, “Terri, even Christ went to Gethsemane.” In other words, even Christ asked that the cup be taken from Him, but yet He conceded to God’s will being done.

The Son of God does not shine so bright as when our world is in its darkest state.

I knew Jesus had been through worse.

…..……...to be continued…….

Related Articles:

Out of My Mind (with a Brain Tumor) Part I

Dear Lindsey,

Hearing the story of the 10 lepers whom Jesus healed (and only one came back to say “thanks,”) reminded me to say thank you, Jesus. Thank you for every day, every sunrise, every received smile from my child, every swallow, and every breath.  I hope to always live in gratitude, but 2007-2009 marked years for which my “thank You, Jesus!” gained weight.

As I reminisced in writing this story, many of the emotions came back to me –the tears, the stress and the gratitude for friends. I need an acknowledgement section in a future letter!!

Here’s the story…

The Headache Journal, December 2007

The arrows that stuck in my husband’s back seemed to attract more arrows from other angles.  I felt myself crumbling with stress, and yet, crumbling with guilt for feeling stressed. Didn’t I trust that God already had this battle for us?!

To my right, the “friend” who stole our Jeep would be in jail, but the broken trust cut deeply.

At my left, I could see the addiction was destroying everything she had known, yet her blindness made her plow forward not recognizing the monster sleeping within her hobby.

Behind me, I felt the pressure of those Michigan neighbors whose jobs were tanked with the economy. Their children were yanked from my children’s teams, as payments for activities got cut with the family budget.

My headaches began so subtly, it seemed I could assign the cause to anything – and thus, “the headache dance” began.  I could blame it on stress, lack of sleep, hormones, too much sugar, not enough sugar, too much fake sugar, caffeine, not enough caffeine, not exercising, wrong exercising, not enough water, not enough vitamins, busyness of homeschooling two children while entertaining my 2 and 4-year-olds, all while adapting to a new house in the boondocks of Michigan.  My list of reasons for the headaches was enough to give me one.

The scientist in me eventually began a journal – a simple calendar with a note each day, labeling the pain between 1 and 10. Were headaches really ruling me as much as it seemed? The journal began in December 2007.  headache journal

The grid told the story: five days in a row of level 2 pain, spiking to level 8, then a day or two off. Then blindness, followed by a 24-hour migraine. Then bliss. Then a couple days of level 4 pain, ended by forcing myself to bed at level 6. There were some days I couldn’t remember what it felt like to be without pain, and other days when the pain was so distant, I would forget the underlying worry.

In Hiding, January 2008

To stay focused on others, I don’t like to talk about medical conditions.  Besides, stating, “I have a headache,” only reminded people to tell me about their headaches, and did nothing to relieve my pain, much less bring glory to God. Because my husband frequently travels, I knew if he knew my pain he would feel worse about leaving. But in the hot-tub, as I scrunched down, trying to heat the nape of my neck, through tears, I put up the white flag of surrender and told Chris I couldn’t handle my life.

Aside: We can’t handle it. God does. When we forget, He’ll remind us – sometimes gently, sometimes more painfully.

They were not “headaches”, they were truly “head-pains,” I told him, not sure what I wanted him to say or do about it.

We wintered in Florida that year, and I had hoped the climate change would bring relief, but it only got worse.

The Florida sunshine became a nuisance; the glare seemed to light a fire in my brain. My vision seemed “off,” so I began the headache dance in the medical world:

  • “80% of women complain of headaches with no known cause,” the urgent care doctor deflated my hope, after I drove myself there for immediate relief once when Chris could stay home with the kids.
  • “Eyesight causing headaches is a rarity,” said the eye doctor after an extensive exam.
  • “Hormonal headaches are something many women just have to deal with post hysterectomy,” the OBGyn told me before changing my HRT prescription.
  • “I have taken care of 90% of the headaches of which people complain,” the chiropractor said caringly, “I really don’t know what the deal is.”

I waited months and drove hours to see highly recommended holistic specialists.

My prayer journal was filled with prayers for ME.

My prayers grew depressed:

  • “God, how can this possibly bring You glory if I am in bed?!”
  • “Lord, my 2-yr-old turned 3, and I feel like I am only hiding from him.”
  • “God, I want to raise my children to be readers, to be disciplined, yet I have virtually locked them inside for months, often in front of a movie so I can lie down with heat on my neck and ice on my forehead.  My head can’t handle their squabbles, much less lead them biblically through it.”

God brought friends who randomly offered to take my kids without truly knowing the extent of my situation.  In March, I finally poured out my heart to my friend Donna Ascol, and asked for prayer. Matthew 18:19 in action.

Under Pressure…flying

A flight to Atlanta and then a subsequent flight to Canada that April put me over the top. I was sure my head would burst from the pressure changes; I prayed I would lose consciousness.

Wow. Tears flow today – just in remembrance of trying to keep my world turning that year. My responsibilities didn’t stop – and I didn’t call “May-day!” because it felt like we all have headaches or some other issue we have to push through. However, I promised myself to continue the medical search for a solution, once we returned to our regular doctors in Michigan at the end of April.

In the mean time, a noise began in my head. I researched “ringing in the ears,” on the mighty online doctor, who of course told me there was no cure.

The “ringing” turned into a chain saw.  A grinding. Daily. Sometimes it was louder, sometimes quieter, sometimes silent. I never noticed it starting, so it must have been gradual (or I was too distracted by head pains to notice), but I never noticed when it stopped. It just came and went, and eventually I would notice its presence or lacking. “Grrrrrrrrr” went between a whisper and a scream in my right ear.

After a brain MRI that month, the general practitioner in Michigan let me know there was a “meningioma on the left side. They’re harmless; you may have had it since you were a child, but since you seem symptomatic, you should see a neuro.”

The neurosurgeon was not much older than I, and had apparently seen more brain MRI’s than the general practitioner, because she told me the tumor was actually on my right side.

March head“Is THAT why I have this noise in my ear?!” I blurted, for the first time telling a doctor about the noise, because I hadn’t wanted to mention it to the family doctor; I was surely toying with the psych ward already.

“No,” she said confidently.  “Your headaches are not related to this thing either. This kind of tumor can come and go on people.” (I remembered my dad had had a water cyst found on his brain after a fall a few years back. They said it was not related to the fall, and had been there since he was born, and would be until he died. I assumed this was similar.)

“I wouldn’t worry about it. Come back in a few months and we’ll do another MRI to make sure it’s not growing.”

I went home depressed, yet not surprised. I knew the chances of finding the cause were slim. I was hopeful, however, because a new hormone replacement was lessening the headaches and the ear noise had virtually disappeared by summer.

Melanoma

My older brother had been diagnosed with a rare colorless Melanoma (dangerous skin cancer) that winter. After several surgeries, they were able to get clear boundaries. (Thank you, God!)

“Siblings are the most at risk,” he warned me. Of course it reminded me that I had been meaning to get that spot on my leg checked. The dermatologist said it looked fine, but wanted to biopsy a different one. Diagnosis: “a-typical pre-melanoma.” All clear. But when I went back to the general practitioner to have the stitches removed, I asked him about the other spot on my leg that still had my attention. He said, “If it’s worrying you, let’s take it.”

Diagnosis: Basal cell skin cancer. (I use the term “cancer” lightly, since it is not the dangerous kind.)

“I must admit,” the general practitioner said, “I really agreed with the dermatologist that it didn’t look like anything.”

He removed several more spots between June and August that year.

Each time I had the stitches removed, the wound would pop open within a day. The lack-of-healing revealed a pharmacy error. Apparently, my hormone replacement prescription had changed dispensers and been halved, but they forgot to mention to me that I was supposed to take double. The lack of estrogen meant lack of healing, (along with other symptoms) until we figured out the solution.

Choking, September 2008

On the way home from an Ohio soccer tournament, I choked on coffee. I know. Who chokes on pure liquid?! Me, that’s who! I poured hot liquid directly into my lungs…and then coughed and sputtered until Chris almost pulled the car off the highway to try to save me. It felt like more and more often, things were going “down the wrong pipe”! We had friends over for a cookout on Labor Day. I was thrilled it lined up to a day without a headache, but unfortunately, laughing was painful. As the day continued, I felt like something was wrong in my lungs. My whole mid-section hurt.  It’s funny how I didn’t like to talk about medical issues, and the Lord kept having me in places where it was impossible to hide. I couldn’t breathe without pain. Laughing: not. I spoke shallowly, with much effort. I finally took aside my friend, Susie Hallstrand, an RN and life-saver many times over, and told her what was wrong. She did an assessment and decided maybe not holiday-emergency-room material, but I should see a doctor the following day.

Is this what it’s like getting old? I lamented, as my calendar kept filling with doctor appointments: skin, head, eyes, hormones….BLECH! Back at the family doctor, he named the chest condition- something like sore muscles, usually following severe coughing, like pneumonia.

“Or choking?” I asked.

“Sure, that would do it,” he said, and I recalled my wrong-pipe incidents that must have led to my painful breathing.

Health Insurance Decline

My insurance company went bankrupt. (It WASN’T MY FAULT! REALLY! At least notAug head yet.) As I applied for more insurance, I was turned down. What?! Healthy me? Water-drinking, exercising, prayerful ME?!

Reason: skin cancer? Breathing issues? Headaches? What?!

The insurance quote got my attention:  “impending brain surgery.”

I had never seen or heard those words before, so I really thought there was an error. I happened to be talking to my Florida friend, Laurie Woodward that week, who practically begged me to go back for another MRI, despite how I was resisting it. Really, I had all these other problems to deal with – who has time to go spend thousands of dollars on another MRI to check something which they said was not dangerous and unrelated to these other issues at hand anyway?!!

I scheduled an MRI for September 6, 2008, a Saturday, knowing my doctor would be on vacation until September 22, the date of my follow-up appointment.

Like the Brady Bunch episode in Hawaii with the totem pole guy and tarantula:…..……...to be continued…….

Related articles